Berufsverband
der Augenärzte
Deutschlands e.V.

Startseite > Presse > Bilddatenbank

Bilddatenbank

bitte wählen Sie

oder lassen Sie sich Alle Bilder zeigen

113 Bilder gefunden
Zum Bild in Originalgröße

Abb. 1:
seniles Epiblepharon
1808Px X 1182Px, 2.19 MB 
Download

Wenn im höheren Alter das Bindegewebe erschlafft und dadurch das komplizierte Zusammenspiel der verschiedenen Lidmuskeln gestört wird, können sich Fehlstellungen der Lider entwickeln. Beim Epiblepharon legt sich die überschüssige Lidhaut in Falten.
Zum Bild in Originalgröße

Abb. 2:
seniles Ektropium
1740Px X 1164Px, 1.5 MB 
Download

Im höheren Alter erschlafft das Bindegewebe. Wird dadurch das komplizierte Zusammenspiel der verschiedenen Lidmuskeln gestört, können Fehlstellungen der Lider entstehen. Beim Ektopium dreht sich das Unterlid nach außen.
Zum Bild in Originalgröße

Abb. 3:
Chalazion
876Px X 612Px, 508 KB 
Download

Ein Hagelkorn (Chalazion) ist die örtlich begrenzte chronische Entzündung einer der "Meibomschen" Drüsen in den Rändern der Augenlider.
Zum Bild in Originalgröße

Abb. 4:
Schirmer-Test
688Px X 502Px, 283 KB 
Download

Mit diesem Test bestimmt der Augenarzt die Menge der Tränenflüssigkeit. Der Schirmer Test dient der Diagnose des ,,Trockenen Auges" (Konjunktivitis sicca).
Zum Bild in Originalgröße

Abb. 5:
endokrine Orbitopathie, Basedowsche Krankheit
1572Px X 900Px, 1.27 MB 
Download

Infolge bestimmter Formen von Schilddrüsenkrankheiten, kann das Gewebe der Augenhöhle an Volumen zunehmen, sodass der Augapfel nach vorn gedrängt wird. Hier ist über der blauen Regenbogenhaut noch ein weißes Stück Lederhaut zu sehen: ein typisches Frühzeichen der Basedowschen Krankheit.
Zum Bild in Originalgröße

Abb. 6:
endokrine Orbitopathie, Basedowsche Krankheit
1504Px X 948Px, 1.11 MB 
Download

Fortgeschrittenes Stadium der Basedowschen Krankheit. Im Extremfall kann der Augapfel so weit heraustreten, dass ein Lidschluss nicht mehr möglich ist. Die Folge: ein Trockenes Auge schwerster Ausprägung.
Zum Bild in Originalgröße

Abb. 7:
Pneumokokken-Konjunktivitis
1604Px X 1068Px, 1.63 MB 
Download

Eine bakterielle durch Pneumokokken verursachte Bindehautentzündung. (Tröpfcheninfektion). Charakteristisch ist eine starke Rötung der Bindehaut, vor allem nasal und möglicherweise auch eine Bindehautblutung (hier temporal unten).
Zum Bild in Originalgröße

Abb. 8:
Konjunktivitis epidemica
1408Px X 976Px, 813 KB 
Download

Extrem ansteckende Bindhautentzündung, die häufig durch Übergreifen auf die Hornhaut zu Sehstörungen führt. Sie wird durch Adenoviren verursacht. Infizierte Personen müssen wegen der Ansteckungsgefahr den Kontakt zu anderen meiden. Das bedeutet für Kinder grundsätzlich Fernbleiben von Schule und Kindergarten und für Berufstätige in vielen Fällen Arbeitsunfähigkeit.
Als Keratokonus bezeichnet man eine fortschreitende Ausdünnung und Vernarbung der zentralen Hornhaut mit kegelförmiger Vorwölbung der Hornhautmitte. Der durch die unregelmäßige Krümmung der Hornhaut hervorgerufene Sehfehler wird mit formstabilen Kontaktlinsen bzw. speziellen Keratokonuslinsen korrigiert. Im fortgeschrittenen Stadium kann eine Hornhautverpflanzung erforderlich werden.
Zum Bild in Originalgröße

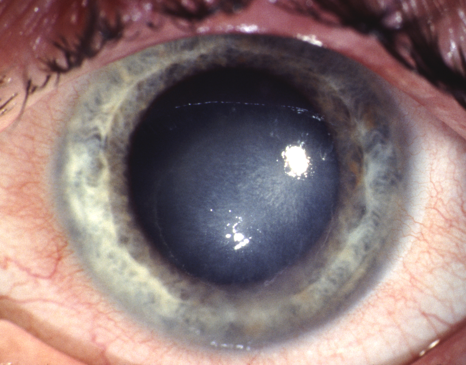
Abb. 10:
Keratokonus
1072Px X 924Px, 1.08 MB 
Download

Keratokonus des rechten Auges. Bei seitlicher Spaltlampenbetrachtung deutlich erkennbare kegelförmige Vorwölbung des verdünnten Honhautzentrums und tiefe Vorderkammer. In aller Regel tritt ein Keratonus beidseitig auf.
In die normalerweise gefäßfreie Hornhaut sprießen Äderchen ein, weil die Hornhaut unter der Kontaktlinse nicht ausreichend mit Sauerstoff versorgt wurde. Solche Schäden entstehen, wenn Kontaktlinsen nicht exakt und individuell angepasst sind oder wenn die augenärztlichen Kontrolluntersuchungen und die dabei empfohlenen Tragezeiten nicht eingehalten werden.
Hier wurden die ersten roten Äderchen als Zeichen der gestörten Sauerstoffversorgung der Hornhaut unter der Kontaktlinse ignoriert; die pathologische Veränderung ist weiter fortgeschritten. Sofortmaßnahmen: Verzicht aufs Kontaktlinsentragen, Konsultation eines Augenarztes. Anderenfalls droht Verlust der Sehschärfe durch fortschreitende Hornhauttrübung.
Zum Bild in Originalgröße

Abb. 13:
Hornhaut-Ulcus
588Px X 444Px, 251 KB 
Download

Aus winzigen Hornhautverletzungen, die nicht fachgerecht versorgt wurden, können durch bakterielle Infektionen gefährliche Hornhautgeschwüre entstehen.
Zum Bild in Originalgröße

Abb. 14:
Akanthamöben-Keratitis
1508Px X 1182Px, 1.68 MB 
Download

Eine Akanthamöben-Keratitis ist eine seltene Hornhautentzündung. Als wichtige Risikofaktoren gelten Hygienefehler beim Kontaktlinsentragen, kontaminiertes Wasser sowie Hornhauttraumata. Typische Symptome der Akanthamöben-Keratitis sind Epitheldefekte, Ringinfiltrate und zentrale Ulkusbildungen sowie starke Schmerzen.
Eine selten auf tretende durch Akanthamöben hervorgerufene Hornhautentzündung. Hauptrisikofaktor sind Hygienemängel beim Tragen von Kontaktlinsen (in den westlichen Industrieländern sind 90 % der Patienten mit Akanthamöben-Keratitis Kontaktlinsenträger). Überwiegend sind junge Patienten, meist einseitig betroffen. Starke Schmerzen sind ein wichtiges Leitsymptom. Diagnose und Therapie müssen sehr schnell erfolgen. Bei Verzögerung kann u.U. nur noch eine Hornhauttransplantation das Sehvermögen retten. Akanthamöben werden u.a. durch Leitungswasser übertragen.
Zum Bild in Originalgröße

Abb. 16:
Keratoplastik
1432Px X 1182Px, 2.05 MB 
Download

Die Keratoplastik ist die älteste und häufigste Transplantation. Sie erfolgt, wenn die ursprünglich klare Hornhaut nicht mehr durchsichtig ist, etwa nach schweren Verletzungen (Vernarbung, Verätzung), nach schweren Infektionen (Bakterien, Viren, Pilze) oder fortschreitender Hornhautverdünnung (Keratokonus). Um das Sehvermögen zu retten, wird die zentrale Trübung scheibenförmig entfernt und die Spenderhornhaut mit sehr feinen Fäden fixiert, die nach etwa 12 Monaten wieder entfernt werden.
Zum Bild in Originalgröße

Abb. 17:
Keratoplastik
1800Px X 1232Px, 2.33 MB 
Download

Allein in deutschen Spezialkliniken werden 3000 - 4000 Hornhautübertragungen im Jahr vorgenommen. Bei sehr schweren Hornhauttrübungen oder bestimmten genetisch bedingten Fehlbildungen der Cornea ist die Keratoplastik die einzige Möglichkeit, Erblindung zu verhindern bzw. des Sehvermögen des erblindeten Auges wiederzugewinnen. Deutlich auf dem Bild zu erkennbar: die fortlaufende Naht zur Fixierung des klaren Spendertransplantats, das an die milchig-trübe Hornhaut des Patienten angrenzt. Im Gegensatz zu allen anderen Organspenden kann das Hornhautscheibchen noch bis zu 48 Stunden nach dem klinischen Tod des Spenders entnommen werden.
Zum Bild in Originalgröße

Abb. 18:
gesunde Netzhaut (Retina)
1560Px X 1182Px, 1.55 MB 
Download

So sieht der Augenarzt die Netzhaut bei der Untersuchung des Augenhintergrundes. Die Arterien und Venen treffen sich an der hellen Stelle, wo der Sehnerv ins Auge mündet, dem Sehnervenkopf. Die die Stelle des schärfsten Sehens, auch gelber Fleck oder Sehgrube, liegt in der Mitte des Bogens, den die Arterien und Venen bilden.
Zum Bild in Originalgröße

Abb. 20:
normale Papille (Sehnervenkopf)
1496Px X 1232Px, 1.05 MB 
Download

In der Papille sammeln sich die Sehnervenfasern der Netzhaut und bilden nach Verlassen des Augapfels den Sehnerv. Die gesunde Papille hat eine blassrosa Farbe, in der Mitte ist sie leicht ausgebuchtet. Bei einem Glaukom nimmt diese Ausbuchtung (Exkavation) an Größe zu. Oft ist gleichzeitig der Augeninnendruck erhöht.
Zum Bild in Originalgröße

Abb. 21:
normale Papille (Sehnervenkopf)
1620Px X 1196Px, 1.57 MB 
Download

Der normale gesunde Sehnervenkopf hat eine blassrosa Farbe. In seiner Mitte liegt eine kleine Ausbuchtung (Exkavation). Bei einem Glaukom nimmt die Exkavation zu. Oft ist gleichzeitig der Augeninnendruck erhöht. Doch die Augeninnendruckmessung allein, wie sie z.T. als ,,Glaukomsreening" von Optikern angeboten wird, ergibt keine zuverlässige Diagnose. Bei ca. 30 % aller Patienten, die bereits einen Glaukomschaden entwickelt haben, konnte niemals ein erhöhter Augeninnendruck gemessen werden.
Zum Bild in Originalgröße

Abb. 22:
Glaukompapille
1236Px X 1216Px, 815 KB 
Download

Sehnervenkopf mit bereits ungewöhnlich großer Ausbuchtung in der Mitte. Bevor die ersten Gesichtsfeldausfälle bei einem Glaukom auftreten, verändert sich die Papille. Darum ist der rechtzeitige und regelmäßige Sehnerv-Check, der beim Augenarzt zur Glaukom-Vorsorgeuntersuchung gehört, entscheidend. Wird ein Glaukom aufgedeckt und behandelt, bevor der Sehnerv ernsthaft geschädigt ist, kann das Sehvermögen meist allein durch medikamentöse Therapie bewahrt werden.
Zum Bild in Originalgröße

Abb. 23:
Glaukompapille
1264Px X 1248Px, 958 KB 
Download

Glaukom im fortgeschrittenen Stadium mit bereits schwer geschädigtem Sehnerv. In der Mitte der Papille erkennt man eine extrem große weiße Ausbuchtung, der Sehnervenkopf hat fast keinen gesunden rosafarbenen Rand mehr. Durch rechtzeitige Vorsorgeuntersuchungen sollte unbedingt verhindert werden, dass die Fasern des Sehnervs geschädigt werden. Die dadurch hervorgerufenen Gesichtsfeldausfälle sind irreversibel. Bei einem Glaukom kann eine Therapie lediglich das noch vorhandene Sehvermögen erhalten.
Zum Bild in Originalgröße

Abb. 24:
Iritis (vordere Uveitis)
1716Px X 1240Px, 2.45 MB 
Download

Entzündung der Regenbogenhaut, hervorgerufen durch rheumatische oder bakterielle Substanzen. Symptome: rotes Auge, Schmerzen, Sehschärfenminderung, Lichtscheu, vermehrter Tränenfluss. Da sie im Anfangsstadium mit der wesentlich harmloseren Bindehautentzündung verwechselt werden kann, ist die augenärztliche Diagnose zwingend erforderlich. Unbehandelt gefährdet eine Iritis das Sehvermögen.
Zum Bild in Originalgröße

Abb. 25:
Chorioretinitis (hintere Uveitis)
1596Px X 1188Px, 1.67 MB 
Download

Aderhautentzündung mit teils frischen, teil vernarbten, schwarz pigmentierten älteren Entzündungsherden. Sehzellen und Sehnervenfasern können zerstört werden, sodass sich das Sehvermögen verschlechtert - im Extremfall bis zum völligen Funktionsverlust des Auges.
Zum Bild in Originalgröße

Abb. 26:
angeborene Katarakt
1716Px X 1116Px, 1.39 MB 
Download

Bei einem angeborenen (kongenitalen) Grauen Star muss die getrübte Augenlinse möglichst früh entfernt und durch Kontaktlinse oder Intraokularlinse ersetzt werden, damit das Kind ein normales Sehvermögen entwickeln kann. Hier ist die weißliche Trübung der Linse schon mit bloßem Auge in der schwarzen Pupille zu erkennen.
Zum Bild in Originalgröße

Abb. 27:
Totalkatarakt bds.
964Px X 1264Px, 1.02 MB 
Download

Angeborene Augenkrankheiten treten oft kombiniert auf. Einwärtsschielen kann auch eine Folge der kongenitalen Katarakt sein. Denn normales beidäugiges Sehen muss - wie Laufen - durch Üben gelernt werden. Nur beginnt das Lernprogramm fürs Sehen praktisch mit dem ,,ersten Augenblick". Mit getrübten Linsen kann das Kind nicht sehen lernen.
Zum Bild in Originalgröße

Abb. 28:
Alterskatarakt
1368Px X 1182Px, 1.3 MB 
Download

Die häufigste Form der Katarakt ist die altersbedingte Linsentrübung. Die ursprünglich klare Augenlinse verliert im Laufe des Lebens ganz allmählich an Transparenz. Erst im höheren Alter erreicht die Trübung eine Dichte, die das Sehen beeinträchtigt. Der Blick in die weit getropfte Pupille zeigt die ersten Anzeichen einer Katarakt: weiße strahlenförmige Trübungen und ebensolche Pünktchen im zentralen Bereich.
Zum Bild in Originalgröße

Abb. 29:
Alterskatarakt im fortgeschrittenen Stadium
1428Px X 1192Px, 1.35 MB 
Download

Im höheren Alter entwickelt sich sehr häufig ein Grauer Star (eine Katarakt). In aller Regel erfolgt die Operation, wenn sich der Patient durch die Linsentrübung beeinträchtigt fühlt. Spätestens in diesem fortschrittenen Stadium muss die dicht eingetrübte Augenlinse durch eine ins Auge zu pflanzende Kunststofflinse (Intraokularlinse) ersetzt werden.
Zum Bild in Originalgröße

Abb. 30:
Hypertone Retinopatie
1604Px X 1182Px, 1.43 MB 
Download

Eine durch chronischen Bluthochdruck hervorgerufene Schädigung der Netzhautgefäße, die Sehstörungen verursachen kann.
Gelegentlich ist der Augenarzt der Erste, der einen hohen Blutdruck erkennt, da der Betroffene selbst zwar noch keine Beschwerden hat, wohl aber bereits die typischen Netzhautveränderungen aufgetreten sind.
Schwerste Schäden der Netzhautgefäße entstehen, wenn ein sehr hoher Blutdruck längere Zeit nicht oder nicht richtig behandelt wird.
Bei schwerwiegenden Gefaßveränderungen durch hohen Blutdruck besteht sogar die Gefahr der Erblindung.
Zum Bild in Originalgröße

Abb. 32:
Proliferative diabetische Retinopathie
1584Px X 1212Px, 1.39 MB 
Download

Durch hohe Blutzuckerwerte verursachte Netzhautkrankheit in einem fortgeschrittenen Stadium, in dem sich krankhafte neue Gefäße auf der Netzhautoberfläche oder am Sehnerv bilden und in den Glaskörper sprießen.
Auch ein gut eingestellter Diabetes mellitus kann diese das Sehvermögen gefährdenden Netzhautveränderungen hervorrufen. Werden sie jedoch rechtzeitig erkannt, lässt sich im Allgemeinen mit einer Lasertherapie ein weiteres Fortschreiten verhindern.
Zum Bild in Originalgröße

Abb. 33:
altersabhängige trockene Makuladegeneration
1520Px X 1184Px, 1.06 MB 
Download

Die altersabhängige Makuladegeneration (AMD) ist die häufigste Ursache für Sehbehinderung im Alter. Die leichtere Verlaufsform ist die trockene AMD: Die zentrale Sehschärfe nimmt nur allmählich ab. Die Veränderung an der in der Mitte der Netzhaut liegenden Stelle des schärfsten Sehens, der Makula, ist nur für den Augenarzt deutlich. Die rechtzeitig Diagnose ist wichtig, denn aus der trockenen Form kann sich die feuchte Form der AMD entwickeln.
Zum Bild in Originalgröße

Abb. 34:
altersabhängige feuchte Makuladegeneration
1528Px X 1208Px, 1.09 MB 
Download

Die feuchte Form der altersabhängigen Makuladegeneration (AMD) verläuft wesentlich aggressiver als die trockene AMD. In der Netzhaut bilden sich krankhafte Gefäße, die Flüssigkeit absondern und die empfindlichen Netzhautgefäße zerstören. Dem Augenarzt stehen verschiedene Therapien zur Verfügung, weitere Gefäßneubildungen zu verhindern und den Verlauf der Krankheit günstig zu beeinflussen. Hier sind die Veränderungen der Netzhautmitte bereits deutlich zu erkennen.
Wie entscheidend die rechtzeitige Behandlung für den Verlauf einer altersabhängigen Makuladegeneration (AMD) ist, zeigt diese fortgeschrittene feuchte AMD. Schwere Veränderungen wie Einblutungen und große Drusen haben praktisch die Stelle des schärften Sehens zerstört. Der Patient kann seine Umwelt nur noch mit der Peripherie der Netzhaut wahrnehmen.
Zum Bild in Originalgröße

Abb. 36:
Netzhautablösung
Ablatio retinae

1252Px X 988Px, 811 KB 
Download

Als Ablatio oder Amotio retinae bezeichnet man die Ablösung der Netzhaut vom Pigmentepithel und von der dahinter liegenden Aderhaut. Zu den Risikofaktoren zählen vor allem: hochgradige Kurzsichtigkeit, diabetische Netzhautveränderungen, Entzündungen oder Tumore im Auge. Symptome: Wahrnehmung von Lichtblitzen, dann Verschleierung und Verschattung des Sehfeldes. Erblindungsgefahr, die durch rechtzeitige Behandlung gebannt werden kann: Laserkoagulation, Kälteanwendung, Wiederanlegen mithilfe einer Plombe
Zum Bild in Originalgröße

Abb. 37:
Netzhautablösung bei Linsenlosigkeit
1556Px X 1182Px, 1.27 MB 
Download

Besonders bei kurzsichtigen Augen ist das Risiko, eine Netzhautablösung zu bekommen, nach einer Katarakt-Operation etwas erhöht. Durch moderne Operationsverfahren ist die Gefahr zwar wesentlich geringer geworden, trotzdem hat dieser Risikofaktor einen Einfluss auf die Entscheidung, wann und mit welcher Technik eine Katarakt- oder Nachstaroperation vorgenommen wird.
Zum Bild in Originalgröße

Abb. 38:
Stauungspapille
1600Px X 1192Px, 1.82 MB 
Download

Hervorgerufen durch eine Steigerung des Hirndrucks entsteht in der Papille (dem im Augapfel befindlichen Teil des Sehnervs) eine Ansammlung wässriger Flüssigkeit.
Die Stauungspapille erfordert eine sofortige Ursachenklärung, da Hirndrucksteigerungen ein Indiz für einen Tumor sein können, aber auch für andere raumfordernde Prozesse wie Hirnhautentzündung, Gehirnblutungen, Zysten.
Zum Bild in Originalgröße

Abb. 40:
Apoplexia papillae
976Px X 1040Px, 814 KB 
Download

Auch Anteriore ischämische Opticusneuropathie (AION) - eine akute Durchblutungsstörung der Papille (Infarkt) durch entzündliche, altersbedingte (arteriosklerotische) oder diabetische Gefäßveränderungen. Häufige Ursache einseitiger akuter Sehminderung im höheren Alter. Die untere Gesichtsfeldhälfte ist häufiger betroffen, es treten aber auch zentrale Gesichtsfeldausfälle bis zur Erblindung auf. Ziel der Therapie ist weitere Infarkte zu vermeiden.
Zum Bild in Originalgröße

Abb. 41:
Optikusatrophie
1220Px X 1182Px, 1.11 MB 
Download

Ein Sehnervenschwund kann verschiedene Ursachen haben: z.B. druckbedingte Durchblutungsstörungen, Quetschungen des Sehnervs, Fraktur aber auch toxische Einflüsse, wie Tabak, Alkohol, Blei, Arsen, Thallium und auch einige Medikamente. Das wichtigste Merkmal: die blasse Farbe der Papille. Der Sehverlust hängt aber nicht vom Grad ihrer Blässe ab und reicht von kleinen zentralen Gesichtsfeldausfällen bis hin zur Erblindung.
Durch Schielen entstehen störende Doppelbilder. Das kindliche Gehirn kann sich - im Gegensatz zu dem der Erwachsenen - dagegen wehren, indem es das vom schielenden Auge übermittelte Bild unterdrückt. Hier sieht es nur mit dem rechten Auge. Das nicht benutzte linke Auge wird schwachsichtig und das Kind kann kein räumliches Sehen entwickeln, wenn die augenärztliche Behandlung nicht frühzeitig erfolgt.
Nach dem dritten Lebensjahr auftretendes Schielen trifft ein schon gut gereiftes sensorisches System; die Ursache kann auch eine Augenmuskellähmung sein. Das Kind sieht nur mit dem linken Auge. Damit beidäugiges räumliches Sehen entwickeln kann, muss die augenärztliche Behandlung schnell beginnen. Zum Therapie-Konzept gehört auch die Beseitigung des Schielwinkels.
Zum Bild in Originalgröße

Abb. 46:
Hornhaut-Fremdkörper
1308Px X 1260Px, 1.29 MB 
Download

Nicht immer sind wie hier der Fremdkörper und die Verletzung sichtbar. Dringt z.B. ein Eisensplitter vollständig ins Auge ein, verspürt der Betroffene nur den Aufprall und dann keinen Schmerz mehr. Auch bei einem solchen Unfall muss sofort der Augenarzt aufgesucht werden, der den metallischen Fremdkörper aus dem Auge entfernt, da er sonst im Auge verrostet; das Auge wäre verloren.
Zum Bild in Originalgröße

Abb. 47:
Kalkverätzung
832Px X 616Px, 593 KB 
Download

Bei Verätzungen durch gebrannten oder gelöschten Kalk (verbotener Kinderspielplatz: Baustellen!) ist das Auge zunächst blass und erweckt den Anschein, nicht betroffen zu sein. Nach kurzer Zeit grau-weiße Eintrübung der Hornhaut. Gefahr: Gewebsuntergang, totale Eintrübung bis Einschmelzung der Hornhaut. 1.Hilfe ist sofort zu leisten: Unfallwagen anfordern und in der Zwischenzeit sichtbare Kalkreste mit Wattestäbchen entfernen und dann ununterbrochen mit klarem Wasser spülen, bis der Augenarzt die Versorgung übernimmt.
Zum Bild in Originalgröße

Abb. 48:
Retinopathia pigmentosa
1608Px X 1200Px, 967 KB 
Download

Erblich bedingte Netzhautkrankheit, bei der die Netzhautzellen allmählich absterben. Die Folgen: Im Gesichtsfeld entstehen Ausfälle und es verengt sich, bis nur ein kleiner Sehrest im Zentrum übrig bleibt (Tunnelblick / Röhrengesichtsfeld). Weitere Merkmale: gestörtes Dämmerungssehen und Nachtblindheit, Blendempfindlichkeit, Störung des Farbsehens. Auf der Netzhaut sieht man die knochenkörperchenartige Pigmentierung, die arterioläre Gefäßverengung und deutlich die wachsgelbe Papille.
Zum Bild in Originalgröße

Abb. 49:
Konjunktivitis vernalis
1856Px X 1224Px, 242 KB 
Download

Häufige, immer wiederkehrende Bindehautentzündung besonders bei Kindern und Jugendlichen. Ursache ist eine allergische Veranlagung.
Das Oberlid wurde umgeklappt, damit man die typischen ,,Riesenpapillen" erkennt.
Zum Bild in Originalgröße

Abb. 50:
Konjunktivitis vernalis
984Px X 643Px, 520 KB 
Download

Fortgeschrittene durch allergische Veranlagung begünstigte Bindehautentzündung. Die Riesenpapillen hinterlassen oftmals Narben, die ein Leben lang Probleme bereiten können, u.a. deswegen sollte auch bei Bindehautentzündungen immer der Augenarzt konsultiert werden.

Zum Bild in Originalgröße

Abb. 51:
Ptosis einseitig rechts
839Px X 559Px, 718 KB 
Download

Die häufigste Form der Ptosis, eines herabhängenden Oberlides oder auch beider Oberlider tritt im höheren Lebensalter auf (involutive Ptosis), hervorgerufen durch Durchblutungsstörungen und Schwäche des lidhebenden Muskels (Levator). Oftmals ist eine Kopfzwanghaltung damit verbunden. Therapie: dosierte Straffung oder Kürzung der Muskelsehne und gegebenenfalls des Muskels.
Zum Bild in Originalgröße

Abb. 52:
Schwere beidseitige Ptosis
552Px X 724Px, 585 KB 
Download

Schwere beidseitige Ptosis bei Muskeldystrophie; daraus resultieren Kopfzwangshaltung und Sehbeeinträchtigung.
Bei einer Ptosis, Herabhängen der Oberlider, kommen ganz unterschiedliche Ursachen in Betracht. Darum sind zunächst in vielen Fällen auch neurologisch-internistische Untersuchungen erforderlich. Für die Operation, die den Levatormuskel wieder in die Lage versetzt, das Lid zu heben, stehen der Augenheilkunde verschiedene Verfahren zur Verfügung.
Zum Bild in Originalgröße

Abb. 53:
Angeborene Ptosis links
840Px X 561Px, 762 KB 
Download

Bei Kindern ist die Ptosis (einseitiges oder beidseitiges Herabhängen des Oberlides) meist angeboren. Nerven- oder muskelbedingte Ursachen kommen infrage. Ist die Ptosis einseitig, kann ohne rechtzeitige Behandlung eine Amblyopie (Schwachsichtigkeit) entstehen, weil das teilweise vom Lid verdeckte Auge nicht zum Sehenlernen benutzt wird. Therapie: lidhebende Operation, deren Zeitpunkt vom Schweregrad der Ptosis abhängt.
Zum Bild in Originalgröße

Abb. 54:
Entropium im höheren Lebensalter
832Px X 555Px, 684 KB 
Download

Als Entropium bezeichnet man das Einwärtskehren der Unterlidkante, eine häufig auftretende Altersveränderung. Die nach innen gerichteten Wimpern scheuern auf Bindehaut und Hornhaut und verursachen nicht nur starke Beschwerden, sondern auch Bindehaut-Hornhautentzündungen. Durch eine Operation, die der Augenarzt ambulant vornehmen kann, erhält das Unterlid wieder seine ursprüngliche Stellung.
Zum Bild in Originalgröße

Abb. 55:
Komplikationen nach kosmetischer Chirurgie
2048Px X 1536Px, 1.02 MB 
Download

Zustand nach Ober- und Unterlid-Straffung, nach vierfacher kosmetischer Voroperation. Diese Operation wird an den Oberlidern zur Korrektur der Schlupflider und an den Unterlidern zur Korrektur der Tränensäcke durchgeführt.
Die Patientin versucht, die Augen zu schließen: Lidschluss-Defizit rechts von 1 mm, links von 3 mm, es wurde so viel weggeschnitten, dass Augen schließen unmöglich ist.



Zum Bild in Originalgröße

Abb. 56:
Komplikationen nach kosmetischer Chirurgie
2048Px X 1536Px, 0.98 MB 
Download

Zustand nach Ober- und Unterlid-Straffung, nach vierfacher kosmetischer Voroperation. Diese Operation wird an den Oberlidern zur Korrektur der Schlupflider und an den Unterlidern zur Korrektur der Tränensäcke durchgeführt.
Die Patientin versucht, nach oben zu schauen.
Unterlid-Ektropium beidseits mit massivem Hautdefizit.
Zum Bild in Originalgröße

Abb. 57:
Komplikationen nach kosmetischer Chirurgie
2048Px X 1536Px, 0.96 MB 
Download

Zustand nach Ober- und Unterlid-Straffung, nach vierfacher kosmetischer Voroperation. Diese Operation wird an den Oberlidern zur Korrektur der Schlupflider und an den Unterlidern zur Korrektur der Tränensäcke durchgeführt.
Die Patientin schaut geradeaus. Asymmetrischer Befund: Oberlidsenkung links, nach außen gekipptes Unterlid beidseits mit Exposition des Lidknorpels auf der linken Seite.
Zum Bild in Originalgröße

Abb. 58:
Netzhautimplantat (künstliche Netzhaut)
3386Px X 1426Px, 1.29 MB 
Download

Die Mikroelektrodenfolie am rechten Ende wird auf der Netzhaut (Retina) fixiert. Das andere Ende enthält eine Antennenspule für kabelfreie Daten- und Energieübertragung, dazwischen eine ultraflexible Verbindung. Die Netzhaut wird stimuliert, Sehwahrnehmungen werden möglich.
Zum Bild in Originalgröße

Abb. 59:
Netzhautimplantat (künstliche Netzhaut)
1349Px X 1514Px, 576 KB 
Download

Die Verträglichkeit des epiretinalen Implantats hat sich in jahrelanger Forschungsarbeit als sehr gut erwiesen. Hier sieht man den Stimulatorkopf auf der Netzhaut im Tiermodell.
Zum Bild in Originalgröße

Abb. 60:
Venenverschluss in der Netzhaut
1884Px X 1600Px, 1.08 MB 
Download

Ein Venenverschluss in der Netzhaut ist eine häufig auftretende Gefäßkrankheit, gegen deren Folgen Augenärzte lange Zeit machtlos waren. Mit neuen chirurgischen Verfahren ist es nun in verschiedenen Studien gelungen, bereits verlorenes Sehvermögen für Patienten wiederzugewinnen.
Die Abbildung zeigt das Auge eines Patienten mit Netzhautblutungen infolge eines Zentralvenenverschlusses. Das Auge ist so gut wie blind und nimmt nur noch Handbewegungen wahr.
Zum Bild in Originalgröße

Abb. 61:
Venenverschluss in der Netzhaut, nach Operation
1880Px X 1600Px, 1.07 MB 
Download

Ein Venenverschluss in der Netzhaut ist eine häufig auftretende Gefäßkrankheit, gegen deren Folgen Augenärzte lange Zeit machtlos waren. Mit neuen chirurgischen Verfahren ist es nun in verschiedenen Studien gelungen, bereits verlorenes Sehvermögen für Patienten wiederzugewinnen.
Nach der Operation, einer radiären Optikusneurotomie (RON), bei der durch einen kleinen Einschnitt am Kopf des Sehnervs die eingeengten Gefäße entlastet werden, hat sich der Blutabfluss normalisiert. Außerdem konnte sich an der Einstichstelle ein Umgehungskreislauf bilden, sodass die Netzhautzellen wieder mit Nährstoffen versorgt werden. Das Sehvermögen des Patienten hat sich so weit verbessert, dass er wieder lesen kann.
Zum Bild in Originalgröße

Abb. 63:
Augenuntersuchung mit der Spaltlampe
3060Px X 2040Px, 3.22 MB 
Download

An der Spaltlampe können Augenärzte alle Bereiche des Auges untersuchen - beispielsweise die Netzhaut mit der Makula, der Stelle des schärfsten Sehens.
Zum Bild in Originalgröße

Abb. 64:
AMD-Kontrolluntersuchung
2880Px X 1920Px, 2.8 MB 
Download

Bei Netzhauterkrankungen wie der Makuladegeneration sind regelmäßige Kontrolluntersuchungen wichtig, um den Krankheitsverlauf festzuhalten. Der Augenarzt bespricht dann mit seinen Patienten, wie sich der Befund verändert hat.
Zum Bild in Originalgröße

Abb. 65:
Voruntersuchung zur Kataraktoperation
3060Px X 2040Px, 2.98 MB 
Download

Moderne Untersuchungsmethoden in der Augenheilkunde sind für die Patienten kaum belastend. Beispielsweise die Vermessung des Auges vor einer Operation des Grauen Stars verläuft schnell und berührungsfrei.
Zum Bild in Originalgröße

Abb. 66:
Gesichtsfelduntersuchung
2030Px X 2030Px, 2.22 MB 
Download

Falls der Verdacht einer Glaukomerkrankung vorliegt, gibt die so genannte Perimetrie Aufschluss darüber, ob es bereits "blinde Flecken" im Gesichtsfeld gibt.
Zum Bild in Originalgröße

Abb. 67:
Laserkoagulation der Netzhaut
2759Px X 1840Px, 2.52 MB 
Download

Die Laserbehandlung ist eine Möglichkeit, um Netzhautablösungen zu behandeln
Zum Bild in Originalgröße

Abb. 68:
Fluoreszenzangiographie
2784Px X 1856Px, 2.67 MB 
Download

Zur Netzhautdiagnostik ist die Fluoreszenzangiographie ein bewährtes Mittel: Nach Injektion eines Farbstoffs in eine Vene werden bei unterschiedlicher Belichtung Fotos gemacht, die Aufschluss über die Blutgefäße am Augenhintergrund geben
Zum Bild in Originalgröße

Abb. 69:
Untersuchung des Augenhintergrunds
3060Px X 2040Px, 3.14 MB 
Download

Erkrankungen der Netzhaut können mit moderner Diagnostik früh erkannt werden. Eine Untersuchung des Augenhintergrunds kann darüber hinaus Hinweise auf allgemeine Gefäßerkrankungen geben.
Zum Bild in Originalgröße

Abb. 70:
Früherkennung einer Sehschwäche
2768Px X 1845Px, 2.55 MB 
Download

Sehschwächen im Kindesalter können gut behandelt werden - dafür ist es aber wichtig, dass die Kinder rechtzeitig in einer Augenarztpraxis vorgestellt werden.
Zum Bild in Originalgröße

Abb. 71:
Früherkennung einer Sehschwäche
3060Px X 2040Px, 2.9 MB 
Download

Ein leichtes Schielen fällt im Alltag nicht auf. Eine augenärztliche Untersuchung bringt Sicherheit, ob mit den Augen eines Kindes alles in Ordnung ist.
Zum Bild in Originalgröße

Abb. 72:
Früherkennung einer Sehschwäche
1732Px X 2597Px, 2.57 MB 
Download

Droht eine Sehschwäche, dann wird das "bessere" Auge für einige Stunden am Tag abgeklebt. So lernt das kindliche Gehirn, auch den Seheindruck des schwächeren Auges zu verarbeiten.
Zum Bild in Originalgröße

Abb. 73:
Sehtest für Vorschulkinder
2627Px X 1751Px, 2.56 MB 
Download

Testtafeln mit einfachen Symbolen sind Hilfsmitteln, die auch bei Vorschulkindern schon Sehtest ermöglichen.
Zum Bild in Originalgröße

Abb. 74:
Augenuntersuchung mit der Spaltlampe
4080Px X 2720Px, 6.07 MB 
Download

Zur Untersuchung der Hornhaut wird das Lid etwas hochgezogen.
Zum Bild in Originalgröße

Abb. 75:
Augenuntersuchung mit der Spaltlampe
3060Px X 2040Px, 2.82 MB 
Download

An der Spaltlampe können Augenärzte alle Bereiche des Auges untersuchen - von der Hornhaut über die Iris und den Kammerwinkel bis zum Augenhintergrund mit der Netzhaut und dem Sehnvervenkopf.
Zum Bild in Originalgröße

Abb. 76:
Brillenglasbestimmung mit dem Phoropter
3060Px X 2040Px, 3.22 MB 
Download

Zur Bestimmung der optimalen Sehhilfe nutzen Augenärzte den Phoropter. Wenn es bei einer Untersuchung beispielsweise um die Teilnahme am Straßenverkehr geht, kommen Untersuchungen zum Dämmerungs- und Kontrastsehen hinzu.
Zum Bild in Originalgröße

Abb. 77:
Augenuntersuchung mit dem Brillenophthalmoskop
3060Px X 2040Px, 3.06 MB 
Download

Mit einer Spezialbrille, dem Brillenophthalmoskop kann die Augenärztin die Netzhaut der Patientin dreidimensional wahrnehmen.
Zum Bild in Originalgröße

Abb. 78:
Retinatomographie
2497Px X 1664Px, 2.21 MB 
Download

Die Retinatomographie erlaubt die dreidimensionale Darstellung des Sehnervenkopfs. Sie ist besonders wertvoll bei der Verlaufskontrolle von Glaukomerkrankungen.
Zum Bild in Originalgröße

Abb. 79:
Optische Kohärenztomographie
2733Px X 1822Px, 2.83 MB 
Download

Die optische Kohärenztomographie erlaubt die Darstellung der einzelnen Netzhautschichten in höchster Auflösung.
Zum Bild in Originalgröße

Abb. 80:
Messung des Augeninnendrucks
3060Px X 2040Px, 2.57 MB 
Download

Zur Messung des Augeninnendrucks wird die Kraft gemessen, die nötig ist, um die Hornhaut in einem definierten Bereich abzuflachen. Der Augeninnendruck ist ein wichtiger Risikofaktor für eine Glaukomerkrankung.
Zum Bild in Originalgröße

Abb. 81:
Hornhauttopographie
3060Px X 2040Px, 3.28 MB 
Download

Für die Anpassung von Kontaktlinsen ist die Hornhauttopographie eine sinnvolle Untersuchungsmethode. Sie erstellt eine "Landkarte" mit der genauen Wölbung der Hornhaut.
Zum Bild in Originalgröße

Abb. 82:
Farbige Kontaktlinsen
1456Px X 2183Px, 1.29 MB 
Download

Farbige Kontaktlinsen sind in Mode - doch sie müssen ebenso sorgfältig angepasst werden wie alle anderen Linsen auch. Die Anpassung beim Augenarzt und sorgfältige Einhaltung der Hygienetipps im Umgang mit Kontaktlinsen sind ebenso wichtig wie regelmäßige Kontrolluntersuchungen.
Zum Bild in Originalgröße

Abb. 83:
Kontaktlinsenanpassung
1931Px X 2896Px, 3.19 MB 
Download

Der richtige Umgang mit Kontaktlinsen erfordert etwas Übung - in ihrer Kontaktlinsensprechstunde geben viele Augenärzte dabei Hilfestellung.
Zum Bild in Originalgröße

Abb. 84:
Die Preisträger des Sicca-Förderpreises 2010
4256Px X 2832Px, 2.46 MB 
Download

(hintere Reihe von links): Dr. med. Thomas Armin Fuchsluger (Essen), Cand. Med. Meral Bulgen (München), Dr. rer. nat. Uta Gehlsen (Lübeck), Sebastian Siebelmann (Lübeck), Dr. med. Marc Schargus (Würzburg), Dr. med. Stefan Schrader (Würzburg/L), Dipl. Biol. Henning Thomasen (Essen), Dr. med. Daniel Kampik (Würzburg/London), (vordere Reihe von links:) Dr. med. Johannes Schwartzkopff (Freiburg), Dr. med. Eva Jacob (Heidelberg), Dr. med. Gesa Schäfer (Magdeburg), Cand. Med. Philipp Ackermann (Halle/Saale), Dipl. Biol. Martin Schicht (Halle/Saale), Matthias Dunse (Halle/Saale), Dr. med. Dieter F. Rabensteiner (Graz).
Zum Bild in Originalgröße

Abb. 85:
Schielen
4602Px X 2304Px, 1.18 MB 
Download

Schielenden Kinder drohen soziale Benachteiligungen. Deshalb, und um bleibende Sehschwächen zu vermeiden, sollten sie möglichst früh behandelt werden.
Zum Bild in Originalgröße

Abb. 86:
Schielen
4602Px X 2304Px, 1.52 MB 
Download

Schielenden Kinder drohen soziale Benachteiligungen. Deshalb, und um bleibende Sehschwächen zu vermeiden, sollten sie möglichst früh behandelt werden.
Zum Bild in Originalgröße

Abb. 87:
Skleritis
1856Px X 1224Px, 230 KB 
Download

Eine Entzündung der Lederhaut wird häufig durch rheumatische Erkrankungen und Gürtelrose verursacht. Die Krankheit beginnt mit diffusen Schmerzen im Auge und ist erst in späterem Stadium auch äußerlich zu erkennen.
Zum Bild in Originalgröße

Abb. 88:
Hordeolum (Gerstenkorn)
1856Px X 1224Px, 281 KB 
Download

Beim Gerstenkorn liegt eine akute Entzündung des Augenlides vor, die durch eine Infektion mit Bakterien verursacht wird.
Zum Bild in Originalgröße

Abb. 89:
Klarer Durchblick von Anfang an
2173Px X 1535Px, 634 KB 
Download

Ein kleiner Junge mit großen, braunen Kulleraugen kuschelt sich liegend eng an einen grünen Frosch aus Plüsch, der fast so groß wie der Junge ist. Die braunen Glubschaugen des Frosches sind dabei auf einer Höhe mit den Augen des Jungen. Motiv aus der Broschüre "Gesunde Kinderaugen"
Zum Bild in Originalgröße

Abb. 91:
kleiner Junge mit Indianerkopfschmuck
2480Px X 1692Px, 814 KB 
Download

Ein kleiner Junge mit Indianerkopfschmuck blickt verschmitzt durch einen Zaun. Plakatmotiv der Initiative "Klarheit schaffen"
Zum Bild in Originalgröße

Abb. 92:
Voruntersuchung vor einer Cataract-OP
1465Px X 1028Px, 239 KB 
Download

Moderne Untersuchungsmethoden in der Augenheilkunde
sind für die Patienten kaum belastend. Motiv aus dem Flyer für Senioren.
Ein kleines Mädchen und ihre Kasperlpuppe blicken durch den Vorhang ins Publikum. Motiv aus dem Flyer "Gesunde Kinderaugen"
Zum Bild in Originalgröße

Abb. 94:
Gesunde Augen ein Leben lang
2480Px X 1783Px, 0.99 MB 
Download

Die Oma liest der Enkeltochter aus einem Märchenbuch vor. Motiv von der Website der Initiative "Klarheit schaffen"
Zum Bild in Originalgröße

Abb. 95:
Mit Sicherheit mobil sein auch im Alter
2480Px X 1654Px, 341 KB 
Download

Ein ältere Autofahrer blickt in den Rückspiegel.
Motiv aus dem Flyer für Senioren.
Zum Bild in Originalgröße

Abb. 96:
Gesunde Augen auch im Alter
2480Px X 1685Px, 556 KB 
Download

Eine Seniorin blickt mit wachen Augen von ihrem Buch auf. Motiv aus dem Flyer für Senioren und Plakatmotiv.
Zum Bild in Originalgröße

Abb. 97:
Klarheit schaffen!
2206Px X 1535Px, 617 KB 
Download

Eine junge Frau mit schönen Augen blickt durch eine Jalousie. Motiv der Initiative "Klarheit schaffen" von Plakat, Vorsorge-Flyer und im Internet.
Zum Bild in Originalgröße

Abb. 98:
Mädchenfußballmannschaft mit Sportbrillen
3456Px X 2304Px, 2.66 MB 
Download

Kindersportbrillen schützen das Auge zuverlässig vor Verletzungen und schaffen klare Sicht.
Zum Bild in Originalgröße

Abb. 99:
Kindersportbrille und Fußball
855Px X 1122Px, 251 KB 
Download

Kindersportbrillen schützen das Auge zuverlässig vor Verletzungen und schaffen klare Sicht.
Zum Bild in Originalgröße

Abb. 100:
Fundus hypertonicus Stadium IV, rechtes Auge
768Px X 576Px, 382 KB 
Download

Ende 20-Järiger Patient mit seit 1 Monat bestehender Sehverschlechterung (und auf Nachfrage Kopfschmerzen), der Blutdruck war 275/195mmHg! Der Patient wurde sofort mit Notarzt ins Krankenhaus eingewiesen.
Zum Bild in Originalgröße

Abb. 101:
Fundus hypertonicus Stadium IV, linkes Auge
768Px X 576Px, 405 KB 
Download

Ende 20-Järiger Patient mit seit 1 Monat bestehender Sehverschlechterung (und auf Nachfrage Kopfschmerzen), der Blutdruck war 275/195mmHg! Der Patient wurde sofort mit Notarzt ins Krankenhaus eingewiesen.
Zum Bild in Originalgröße

Abb. 102:
Kontaktlinsenprobleme nach Marathonlauf
1170Px X 930Px, 1.38 MB 
Download

Hornhauttrübung (Ödem), die sich unter einer gering gasdurchlässigen Weichlinse nach einem Marathonlauf gebildet hat
Zum Bild in Originalgröße

Abb. 103:
Corneal Cross Linking
1163Px X 783Px, 582 KB 
Download

Beim Corneal Cross Linking wird die Hornhaut mit Hilfe von Riboflavin und UV-Licht stabilisiert
Zum Bild in Originalgröße

Abb. 104:
Feinstaubfilter
1120Px X 1110Px, 258 KB 
Download

Ein Unterschied wie Tag und Nacht: Benutzter und unbenutzter Feinstaubfilter. Feinstaub steht im Verdacht, an der Entstehung eines Trockenen Auges mitverantwortlich zu sein.
Zum Bild in Originalgröße

Abb. 105:
Bindehautzellen
993Px X 715Px, 139 KB 
Download

Kontrollzellen: Gesunde Bindehautzellen unter dem Mikroskop
Zum Bild in Originalgröße

Abb. 106:
Zellen Feinstaub
563Px X 472Px, 217 KB 
Download

Bindehautzellen nach der Einwirkung von Feinstaub


Zum Bild in Originalgröße

Abb. 110:
Prof. Dr. Bernd Bertram
2026Px X 2701Px, 3.18 MB 
Download

Ehrenvorstandsmitglied




Zum Bild in Originalgröße

Abb. 109:
Prof. Dr. Hans Hoerauf
1602Px X 1441Px, 197 KB 
Download

Wissenschaftliches Vorstandsmitglied





Zum Bild in Originalgröße

Abb. 107:
Dr. Stephan Schneider
2336Px X 3504Px, 3.58 MB 
Download

Ressortleiter Gebührenordnung





Zum Bild in Originalgröße

Abb. 124:
Dr. Bernhard Bambas
2614Px X 3485Px, 1.23 MB 
Download

Landesvorsitzender Schleswig-Holstein





Zum Bild in Originalgröße

Abb. 128:
BVA Vorstandswahl 2023
4566Px X 2699Px, 6 MB 
Download

Der Vorstand auf der Delegiertenversammlung 2023 (v.l.n.r.): Dr. Kaweh Schayan-Araghi, *Dr. Inger Lüdeke, **Dr. Bernhard Bambas, Dr. Peter Heinz, Daniel Pleger, Prof. Dr. Hans Hoerauf
*neu im Vorstand
**Vorstand bis 2023


Zum Bild in Originalgröße

Abb. 120:
Dr. Georg Spital
788Px X 1051Px, 80 KB 
Download

Generalsekretär der Initiativgruppe Früherkennung diabetischer Augenerkrankungen (IFdA)




Zum Bild in Originalgröße

Abb. 118:
Dr. Peter Heinz
6240Px X 4160Px, 2.72 MB 
Download

2. Vorsitzender





Zum Bild in Originalgröße

Abb. 122:
Myopie
3508Px X 2480Px, 2.88 MB 
Download

Das kurzsichtige Auge ist länger als das normalsichtige Auge. Deshalb entsteht ohne Sehhilfe eine scharfe Abbildung vor der Netzhaut





Zum Bild in Originalgröße

Abb. 123:
BVA Vorstandswahl 2019
3867Px X 2122Px, 1.39 MB 
Download

Bei der Delegiertenversammlung 2019 mit großer Mehrheit gewählt (v.l.n.r.): Prof. Dr. Hans Hoerauf, Prof. Dr. Bernd Bertram, Dr. Peter Heinz, Dr. Kaweh Schayan-Araghi, Dr. Bernhard Bambas


Zum Bild in Originalgröße

Abb. 126:
Daniel Pleger
2394Px X 1730Px, 585 KB 
Download

1. Vorsitzender





Zum Bild in Originalgröße

Abb. 127:
Dr. Inger Lüdeke
2000Px X 2000Px, 1.74 MB 
Download

Vorstandsmitglied




Zum Bild in Originalgröße

Abb. 129:
Verdienstmedaillen 2023
4000Px X 3285Px, 7.26 MB 
Download

Auf der Delegiertenversammlung 2023 wurden Dr. Andreas Jordan, Dr. Stephan Schneider und Dr. Werner Bachmann mit der Verdienstmedaille des BVA für ihr außerordentliches Engagement und ihren Einsatz im Berufsverband geehert.


Zum Bild in Originalgröße

Abb. 133:
BVA Vorstand 2024
3068Px X 3068Px, 1.39 MB 
Download

v.l.n.r.: Prof. Dr. Hans Hoerauf, Dr. Inger Lüdeke, Daniel Pleger, Dr. Peter Heinz